1. Giới thiệu
Bệnh bạch cầu cấp dòng tủy (Acute Myeloid Leukemia – AML) là một dạng ung thư máu ác tính phát sinh từ tế bào gốc tạo máu của dòng tủy (myeloid) trong tủy xương. Bệnh đặc trưng bởi sự tăng sinh bất thường của các tế bào non (blast) dòng tủy và sự ức chế sinh máu bình thường, dẫn đến thiếu máu, giảm tiểu cầu và giảm bạch cầu chức năng.
AML chiếm khoảng 80% các trường hợp bạch cầu cấp ở người lớn, với độ tuổi trung bình khi chẩn đoán khoảng 65 tuổi. Nếu không được điều trị, bệnh tiến triển nhanh và có thể gây tử vong trong thời gian ngắn.
- Nguyên nhân và cơ chế bệnh sinh
Nguyên nhân của AML chưa được xác định cụ thể, song có nhiều yếu tố nguy cơ được ghi nhận:
- Phơi nhiễm hóa chất độc hại (như benzen, thuốc trừ sâu, hóa chất công nghiệp).
- Hóa trị hoặc xạ trị trước đó, đặc biệt với các thuốc alkylating hoặc ức chế topoisomerase II.
- Rối loạn sinh tủy (MDS) hoặc bệnh tăng sinh tủy mạn tính tiến triển thành AML.
- Bất thường di truyền bẩm sinh như hội chứng Down, Fanconi anemia, Bloom syndrome…
Về cơ chế, AML hình thành do đột biến gen hoặc tái sắp xếp nhiễm sắc thể làm rối loạn cơ chế tăng sinh và biệt hóa của tế bào gốc tạo máu. Các đột biến thường gặp gồm NPM1, FLT3, CEBPA, IDH1/2, DNMT3A, TP53, trong đó FLT3 và TP53 thường liên quan đến tiên lượng xấu. Hiểu biết về di truyền học đã giúp xác định các phân nhóm bệnh có ý nghĩa tiên lượng và định hướng điều trị nhắm trúng đích.

- Triệu chứng lâm sàng
Các biểu hiện chủ yếu do giảm ba dòng tế bào máu:
- Thiếu máu: mệt mỏi, chóng mặt, da xanh, khó thở.
- Giảm tiểu cầu: bầm tím, chảy máu cam, xuất huyết dưới da hoặc tiêu hóa.
- Giảm bạch cầu hạt: nhiễm trùng tái phát, sốt, viêm phổi hoặc nhiễm khuẩn huyết.
Một số trường hợp có thể có gan to, lách to, hạch to hoặc thâm nhiễm lợi, da, thần kinh trung ương.

Hình 2. Biểu hiện sưng nướu răng ở bệnh nhân AML
- Chẩn đoán
Theo phân loại WHO 2022, chẩn đoán AML dựa trên đặc điểm hình thái, miễn dịch học, di truyền tế bào và di truyền phân tử. Điểm thay đổi quan trọng là không còn yêu cầu bắt buộc ≥ 20% blast trong mọi trường hợp.
- Tiêu chuẩn chẩn đoán AML theo WHO 2022
- Nếu có bất thường di truyền đặc trưng, có thể chẩn đoán AML dù blast < 20%, bao gồm:
- t(8;21)(q22;q22.1); RUNX1::RUNX1T1
- inv(16)(p13.1q22) hoặc t(16;16)(p13.1;q22); CBFB::MYH11
- t(15;17)(q24.1;q21.2); PML::RARA (AML tiền tủy bào)
- t(6;9)(p23;q34.1); DEK::NUP214
- t(1;22)(p13.3;q13.1); RBM15::MRTFA
- KMT2A-rearranged (MLL), NUP98-rearranged, BCR::ABL1
- Nếu không có bất thường di truyền đặc trưng, chẩn đoán AML khi blast ≥ 20% trong máu hoặc tủy xương.
- Các xét nghiệm hỗ trợ
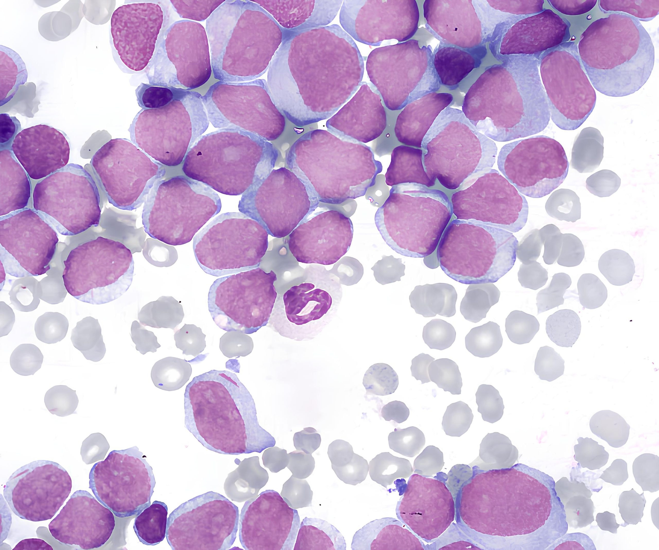
- Công thức máu: giảm hồng cầu, giảm tiểu cầu, tăng hoặc giảm bạch cầu, có thể thấy blast ngoại vi.
- Tủy đồ: xác định tỉ lệ blast và hình thái bất thường dòng tủy.
- Flow cytometry: khẳng định nguồn gốc dòng tủy qua các dấu ấn như CD13, CD33, MPO, CD117…
- Phân tích di truyền và giải trình tự gen: giúp phân loại, tiên lượng và lựa chọn điều trị.

Phân loại và tiên lượng: WHO 2022 và ELN 2022 phân loại AML dựa trên bất thường di truyền hoặc đột biến gen đặc trưng, thay vì chỉ dựa trên hình thái. Tiên lượng phụ thuộc vào:
- Tuổi và thể trạng bệnh nhân.
- Kiểu đột biến gen (NPM1 đơn thuần tiên lượng tốt, FLT3-ITD hay TP53 tiên lượng xấu).
- Mức độ đáp ứng điều trị và MRD (bệnh tồn dư tối thiểu).
Tỷ lệ sống sau 5 năm ở người trẻ khoảng 40–50%, nhưng ở người ≥ 60 tuổi chỉ còn 10–15%.
- Điều trị
Điều trị AML gồm 3 hướng chính:
- Hóa trị cổ điển:
- Phác đồ “7+3” (Cytarabine 7 ngày + Anthracycline 3 ngày) vẫn là nền tảng điều trị khởi đầu.
- Điều trị nhắm trúng đích và thuốc mới:
- Ức chế FLT3 (Midostaurin, Gilteritinib), ức chế IDH1/2 (Ivosidenib, Enasidenib), Venetoclax kết hợp Azacitidine hoặc Decitabine dành cho bệnh nhân lớn tuổi.
- Ghép tế bào gốc tạo máu:
- Được chỉ định cho nhóm nguy cơ trung bình hoặc cao sau khi đạt lui bệnh.
- Đây là phương pháp duy nhất có khả năng chữa khỏi lâu dài.
Điều trị hỗ trợ như truyền máu, kháng sinh, phòng nhiễm trùng và chăm sóc giảm nhẹ cũng đóng vai trò quan trọng trong kiểm soát bệnh.
Dù nhiều tiến bộ đã đạt được, AML vẫn là thách thức lớn của huyết học hiện đại:
- Tỷ lệ tái phát cao, đặc biệt ở bệnh nhân lớn tuổi.
- Đột biến gen phức tạp gây kháng thuốc.
- Nhiều bệnh nhân không đủ sức chịu đựng hóa trị mạnh hoặc ghép tủy.
Các hướng nghiên cứu mới tập trung vào liệu pháp miễn dịch (CAR-T, kháng thể đơn dòng, tế bào NK), theo dõi MRD và liệu pháp kết hợp đa đích, nhằm cải thiện hiệu quả điều trị và kéo dài thời gian sống.
Kết luận
Bệnh bạch cầu cấp dòng tủy là ung thư máu cấp tính nguy hiểm, tiến triển nhanh nhưng có thể kiểm soát được nếu được phát hiện và điều trị sớm. Cập nhật phân loại WHO 2022 giúp chẩn đoán chính xác hơn và mở ra kỷ nguyên điều trị cá thể hóa dựa trên di truyền học, mang lại hy vọng cải thiện tiên lượng cho người bệnh.
Tài liệu tham khảo
- Döhner H, et al. Diagnosis and management of AML in adults: 2022 update. 2022;140(12):1345–1377.
- Arber DA, et al. The 5th edition of the WHO Classification of Haematolymphoid Tumours: Myeloid and Histiocytic/Dendritic Neoplasms. 2022;36:1703–1719.
- National Center for Biotechnology Information (NCBI). Acute Myeloid Leukemia – StatPearls.
- Park C, et al. Pathophysiology of Acute Myeloid Leukemia. Acta Haematologica (Karger). 2024.
Lê Thị Thanh Nhàn – KTXNYH
1900 2039